東京都で歯科矯正医院を探す

東京都で矯正医院をお探しならハーウェル!
ハーウェルでは、東京都の矯正医院の一覧や、症例、口コミ、ランキング、その他の矯正情報をご確認頂けます。

ご希望の治療方法(ワイヤー矯正・マウスピース矯正)にそってもお探し頂けます。LINEで質問に回答するだけで専門スタッフがピッタリの医院を探すこともできるので、ぜひご利用ください

...続きを見る
市区町村を選ぶ

LINEで医院を提案してもらう

LINEで簡単な質問に答えるだけで、ピッタリの医院を探して、予約まで代行します

東京都の医院の治療症例

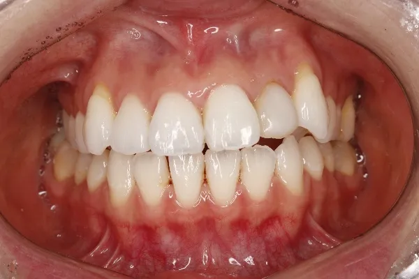
治療前の症例写真

治療前

治療後の症例写真

治療後

費用・期間
880,000(1年6ヶ月)
抜歯
なし
医院
高輪クリニック

詳しく見る